Mention your most painful experience!

Page 3 - Seeking answers? Join the AnandTech community: where nearly half-a-million members share solutions and discuss the latest tech.

loic2003

Diamond Member
Sep 14, 2003
3,844
0
0
I was stabbed through the lip and into my gum with an electric toothbrush. Seriously.


Edit: MOST painful was some idiot deciding to overtake me at about 40mph on a 15mph limit road, knocked my motorbike over which slammed on my leg and dragged me 10ft along the road by my trapped leg. He then proceded to get out and check his car for damage before running over and lifting the bike from my leg. Ass. Finally, he changed his story saying I didn't indicate and was pulling over for him which resulted in a 50:50 insurance job and me losing my no claims bonus.
I had bruising for ~5 months.

Actually, VERY most painful was a cigarette in the eye. pics to come...
 

GasX

Lifer
Feb 8, 2001
29,033
6
81
I got my collarbone broken in the second half of ther last game my senior year in college. That sucked, but not nearly as much as getting it xrayed...
 

loic2003

Diamond Member
Sep 14, 2003
3,844
0
0
pictures:

Friend in a club went to put his arm around me but was drunk and accidentally stubbed his ciggy in my eye. MY eye closed, which actually pulled the burning 'cherry' bit off, so it was there till I manually pulled the burning thing from my eye.
eye 1
eye 2

This is from playing drunken football without any shinpads:
leg 1
Leg 2
Leg 3

 

miniMUNCH

Diamond Member
Nov 16, 2000
4,159
0
0
Broke my leg skiing
tore all ligaments in my ankle playing basketball
tore muscle fibers in my quad playing basketball
4 impacted wisdom teeth removed...no painkiller of any kind following the surgery.
 

imported_Cameron

Senior member
Oct 11, 2005
571
0
0
During my Freshman(or Sophomore..I can't remember.) year in HS, I had appendicitis. That would probably be the WORST pain I have ever felt in my life.
A close number 2 would be the first time I dislocated my knee. Was playing Frisbee in the dorm hallways and somehow it twisted out. That hurt like a b!tch. That was about a year and a half ago, and I've dislocated 8 times since then. It never healed back to where it should.
 

Feldenak

Lifer
Jan 31, 2003
14,090
2
81
Originally posted by: bignateyk
I took an overdose of a prescription medication several years ago by accident. They couldnt do anything to help me except tell me to drink a lot of fluids.

Ya know that feeling you get when you have a charlie horse in your foot? Imagine that happening to every muscle in your body, every 2 minutes for 3 days straight.

Yeah. I wanted to kill myself. I was literally screaming at the top of my lungs and crying non stop for those 3 days.

Good grief...what did you take?
 

ViviTheMage

Lifer
Dec 12, 2002
36,189
87
91
madgenius.com
stapled my knee with a staple gun while shingling our cabins roof. IT was like 120 degrees out ++ the black shingles made it feel like 130 degree....I was about 11 or 10 I think.

It was fun jumping in the lake and jet skiing after I finally moved after putting a staple in my knee. good stuff :D
 

lokiju

Lifer
May 29, 2003
18,526
5
0
-Bike wreck, was knocked out for a good 30 mins, woke up in the hospital and said "how did I get here?!?"

Happened when I was 12 or so.

-Crashed my motorcycle and it landed on top of me with the exhaust pipe laying on my my leg while it had me pined down, left me with 2nd and 3rd degree burns.

-Went tumbling down a mountain side on my four wheeler flipping end over end also.


-Had 100 stitches in my back.

 

glenn beck

Platinum Member
Oct 6, 2004
2,380
0
0
Originally posted by: 49erinnc
Probably the month prior to being diagnosed with Crohn's disease. Just unbearable pain that had me constantly doubled over. I lost about 20 pounds that month from having no appetite and relentless bathroom trips. Finally got so bad that I collapsed in the floor one night and had to be rushed to the emergency room.

2nd to that would be getting shingles once. That hurt like you would not believe. I had them on one side of my head and it felt like someone had about 10 mini branding irons stuck all over it.


I've torn my ACL and broken many bones, but having shingles I think was the most painful experience for me, the pain just wouldn't go away.
 

jdoggg12

Platinum Member
Aug 20, 2005
2,685
11
81
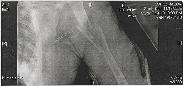
I was in a motorcycle accident 15 months ago.

Injuries:

Compound fracture of my femur - bone shot through my leather suit, split the knuckle on the femur in the knee in half
Shattered my forearm/humerus
Ripped my arm off of my body and was held on by the skin only - all nerves were severed, rendering the arm useless
Tore the brachial artery into my arm - required 16bags of blood (2 full transfusions) over 12 hrs. - died of blood loss and had to be revived
Cracked scapula
Fractured 4 vertebrae
Collapsed lung
Concussion


http://i12.photobucket.com/albums/a219/jdoggg1/upperarm.jpg
http://i12.photobucket.com/albums/a219/jdoggg1/kneeside.jpg
http://i12.photobucket.com/albums/a219/jdoggg1/forearm.jpg

my r6
before
http://myspace-024.vo.llnwd.net/00155/42/05/155595024_l.jpg
after
http://i12.photobucket.com/albums/a219/jdoggg1/bikesidelarge.jpg
http://i12.photobucket.com/albums/a219/jdoggg1/bikesideclose.jpg
 
Dec 10, 2005
29,587
15,127
136
Originally posted by: crownjules
I was playing soccer on the JV team my sophomore year in high school. I was the sweeper (last guy before the goalie) and a kid on the opposing team was on a breakaway. He was fast and starting to cut across the field ahead of me. I closed in on him and stuck out my foot to stop the ball and trip him up over it. What actually happened was that my ankle gave way as he tried to run right through it.

I've broken my arm twice, cut myself badly, stubbed toes and fingers etc. There was no worse pain then the high ankle sprain I got that day. I was in agony for the next day. Suprisingly enough, I ended up only out for a week and came back to play. Unfortunately, that ankle was never the same after that injury and was always prone to getting tweaked.

I have a similar problem with my ankle. I must have injured it in some way running back in middle school (5-7 years ago), so whenever I play soccer now, I have to wrap my ankle otherwise it will be in terrible pain when I kick the ball.
 

JohnAn2112

Diamond Member
May 8, 2003
4,895
1
81
Back in HS, I was home alone and the phone rang. The nearest phone was in my parents' room and I ran over to answer it. It was on the other side of the bed so I decided to be slick and jump on it and over to the other side but I slammed my foot on the metal frame. I looked down at my foot and saw that it split between my 2nd and 3rd toe on my left foot. I had to get stitches right between them. Ouch.
 

slimrhcp

Senior member
Jul 20, 2005
532
0
0
When I was 18 I jumped off a 16ft deck and broke meta tarsels 2,3, and 4 in my foot and fractured a vertebrae in my back (from the compression). Got up and drove home. Then had my mother drive me to the hospital. Luckily they were all clean breaks and I didn't need any surgery. Getting positioned for the x-way was pretty difficult.

Crushed the last joint of my pinky with a 20lb dumbbell. Not all that much damage, but I couludn't see straight for a couple minutes.
 

slimrhcp

Senior member
Jul 20, 2005
532
0
0
Also tore the labrum in my left shoulder during a jiujitsu match last year. Went on to win the match though with a triangle choke. :)
 

NatePo717

Diamond Member
Jun 6, 2005
3,392
4
81
Broke my collar bone when I was 8 or 9. Couldn't move my arm for a few weeks otherwise I would get this shooting pain in my neck/shoulder. And being so young prob made it hurt a lot more too.
 

Platypus

Lifer
Apr 26, 2001
31,046
321
136
Trapped in burning structure passed out from smoke inhalation. 3rd degree burns on 80% of my feet when I was a teenager. (13?)
Best friend woke up and dragged me out.. probably shouldn't be alive, makes you wonder why you are sometimes after something like that.

The pain was in the hospital for the next 2 months... stuff I don't even want to talk about for those eating their lunches.
 

xanis

Lifer
Sep 11, 2005
17,571
8
0
Here are a few of the more memorable ones:

My old house had an electric stove. One day I was working in the kitchen and the stove was on to boil water or something. I slipped and the back of my hand hit the heating element on the stove. I'll never forget the smell of my own flesh burning and the extreme pain. I still have a nice fat scar on the back of my right hand.

I was in Santa Barbara, CA for my cousin's wedding. We stayed at a nice hotel, and the hotel had a hot tob inside of the pool area. I sat down in the hot tub up to my knees, and got out after about 15 minutes or so. Later that night I developed a large, swollen rash on both of my legs. It itched like nothing else and burned like hell if touched. Turns out that I'm allergic to bromine. I'm just glad I didn't put my whole body in, because other, more sensitive parts would have been affected. I'll leave those parts up to the imagination.

I was cutting something with my pocket knife and my hand slipped. The blade sliced open my skin on my left thumb and it bled pretty badly. The pain didn't hit me at first, it was more like, "Oh crap, my thumb is bleeding profusely". Luckily I grabbed a wad of paper towels, made some butterflies to hold the skin together, and held it aove my head. There's still a scar across about 85% of my left thumb.
 

Syrch

Diamond Member
May 21, 2004
3,382
2
0
blew out my inner menicus in both of my knees playing football. Proceeded to play with bad knees and lived another 7 years with an active life before having them fix. The pain ended up so unbearable I couldn't take it anymore.
 

Nutdotnet

Diamond Member
Dec 5, 2000
7,721
3
81
Originally posted by: jdoggg12
I was in a motorcycle accident 15 months ago.

Injuries:

Compound fracture of my femur - bone shot through my leather suit, split the knuckle on the femur in the knee in half
Shattered my forearm/humerus
Ripped my arm off of my body and was held on by the skin only - all nerves were severed, rendering the arm useless
Tore the brachial artery into my arm - required 16bags of blood (2 full transfusions) over 12 hrs. - died of blood loss and had to be revived
Cracked scapula
Fractured 4 vertebrae
Collapsed lung
Concussion


http://i12.photobucket.com/albums/a219/jdoggg1/upperarm.jpg
http://i12.photobucket.com/albums/a219/jdoggg1/kneeside.jpg
http://i12.photobucket.com/albums/a219/jdoggg1/forearm.jpg

my r6
before
http://myspace-024.vo.llnwd.net/00155/42/05/155595024_l.jpg
after
http://i12.photobucket.com/albums/a219/jdoggg1/bikesidelarge.jpg
http://i12.photobucket.com/albums/a219/jdoggg1/bikesideclose.jpg

Damn...does your arm work now?
 

Nutdotnet

Diamond Member
Dec 5, 2000
7,721
3
81
Most painful?

Luckily, I haven't been injured too severely...so, I'd say getting the inner-part of my arm tattooed...getting my nipple's pierced hurt a bit as well. :D
 

BKLounger

Golden Member
Mar 29, 2006
1,098
0
0
my most painful is my own damn stupid fault. I was in like 4th grade and running down a hall. I had a pencil in my hand. I fell as i was running. Got the pencil right through my neck. I missed my throat by half an inch
 

jdoggg12

Platinum Member
Aug 20, 2005
2,685
11
81
Originally posted by: Nutdotnet
Originally posted by: jdoggg12
I was in a motorcycle accident 15 months ago.

Injuries:

Compound fracture of my femur - bone shot through my leather suit, split the knuckle on the femur in the knee in half
Shattered my forearm/humerus
Ripped my arm off of my body and was held on by the skin only - all nerves were severed, rendering the arm useless
Tore the brachial artery into my arm - required 16bags of blood (2 full transfusions) over 12 hrs. - died of blood loss and had to be revived
Cracked scapula
Fractured 4 vertebrae
Collapsed lung
Concussion


http://i12.photobucket.com/albums/a219/jdoggg1/upperarm.jpg
http://i12.photobucket.com/albums/a219/jdoggg1/kneeside.jpg
http://i12.photobucket.com/albums/a219/jdoggg1/forearm.jpg

my r6
before
http://myspace-024.vo.llnwd.net/00155/42/05/155595024_l.jpg
after
http://i12.photobucket.com/albums/a219/jdoggg1/bikesidelarge.jpg
http://i12.photobucket.com/albums/a219/jdoggg1/bikesideclose.jpg

Damn...does your arm work now?

Not yet, i had experimental surgury to fix it.... so its a wait and see deal since nerves grow 1" per month and they tore at my neck